An actor-idol couple is expecting their second baby, after suffering from a terrible miscarriage previously.
On the 15th, former girl group idol Ayane, the wife of actor Lee Ji Hoon, posted a short video on her personal Instagram account along with the message, “I can finally share some good news.”

In the released video, Ayane says, “This is the fourth embryo transfer,” showing herself in hospital attire, trying to stay strong. She also revealed scenes of praying earnestly for the success of the IVF procedure, visiting the hospital, and administering injections to her own abdomen. She confessed, “I’m enduring increasing medications. I received a lot of support from my family and shed tears,” sharing the hardships she faced.

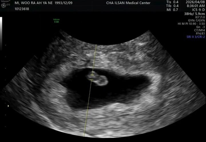
Alongside an ultrasound photo, Ayane joyfully announced, “I finally got to meet Bokboki (the nickname for the baby).” She added, “We will soon become a family of four,” expressing happiness and anticipation by adding “Bokboki” to a warm family photo.

Her husband Lee Ji Hoon wished, “Bokboki, I hope this time you’ll become mommy’s little shadow.” Netizens who heard the second pregnancy news sent congratulatory messages such as, “I’m tearing up too,” “You must have been through a lot, congratulations,” and “It’s sad about the bruises on your belly. Only those who know can understand the sacrifice. Take care of your health.”
Finally, Ayane expressed her emotional feelings, “It’s been about 8 weeks now, and Bokboki is growing well. I’m fighting morning sickness, but even that I’m thankful for.” She revealed her current severe morning sickness, saying, “It’s been about 10 days since the morning sickness started and I lost 2kg. I haven’t vomited, but I just don’t want to eat. I’m hungry but my stomach feels bad.”
Lee Ji Hoon and Ayane overcame a 14-year age difference and got married in 2021. Later, in 2024, they shared the happy news of their daughter’s birth, receiving many congratulations. The couple had been planning for a second child and shared news of a miscarriage last year, receiving much comfort and support.
Source : https://www.koreaboo.com/news/actor-idol-couple-announces-pregnancy-following-previous-miscarriage/


